MENU
ホワイトニング
Whitening
ホワイトニングは歯自体の色調をコントロールする治療法で、プロフェッショナルの技術により歯が白くなります。そして、ホワイトニングは「歯を削らない」「麻酔を使用しない」で歯を白くします。
もちろん口腔内の状況に左右されますが、「白い歯」という要望に応えるだけならホワイトニングで「白い歯」に対する夢を叶えることができます。
ホワイトニングには、医院で行うオフィスホワイトニングと、自宅で行うホームホワイトニングの2種類が有ります。また、その2種類を併用する事でより効果的なデュアルホワイトニングも可能です。
その中でも高知市の歯医者 木口歯科医院では、ホームホワイトニングをご案内しております
歯の着色は、先天性のもの、薬物、損傷によるもの、食生活や加齢の影響など様々な原因でおこりますが、歯に内在する色素が歯の色を濁らせます。ホワイトニングは過酸化水素により、その色素を分解漂白して歯の構造や歯質を変えずに安全に歯を白くします。
オフィスホワイトニングは、歯科医師の管理のもとで施術される漂白法のため安全なホワイトニングと言えます。
全ての処置が歯科医院内で完了しますので、患者様の負担が少なくて済みます。
その場ですぐに効果が現れますが、後戻りも早い場合があります。術後、ホームブリーチングを続けていただくと、効果を保つことが出来ます。
高知市の歯医者 木口歯科医院のオフィスホワイトニングは「ティオン オフィス」を採用しております。
ティオン オフィスは新技術「可視光応答型光触媒V-CAT(TiO2-xNx)」の応用により、比較的低い過酸化水素濃度での高いホワイトニング効果と低刺激性を両立させた新しいオフィスホワイトニング材です。

インフォームドコンセント
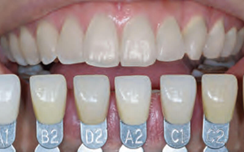
患者さんに対してインフォームドコンセントを行います。シェードテイキングを行い、口腔内の撮影を行います。


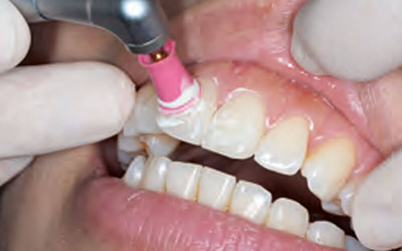
歯面の清掃
歯面清掃材を用いて歯面清掃を行います。


保護
保湿効果の高いリップジェルを口唇に塗布し、リトラクター、つづいてフェイシャルシート、保護眼鏡を装着します。そしてコットンロール、ガーゼを用いて口唇の排除、粘膜面の保護を行い、最後に歯肉保護レジンで歯肉部分を覆い歯科重合用光照射器で硬化させます。


ジェルシリンジの用意
シリンジAとシリンジBを接合し、内容物全量を左右交互に20回移動させ、しっかり混和します。混和後、全てのジェルをシリンジBに移します。


リアクター塗布
リアクターのボトルをよく振り、ディスポーザブルディッシュに5滴滴下します。そして付属のディスポーザブルブラシを用い歯面に一層塗布します。


ホワイトニングジェルの塗布
シリンジBにディスポーザブルファイバー付きチップを装着し、歯面に塗布します。ジェルの厚さは、1mmを目安とします。


光照射
塗布後、1歯につき1分間光照射を行います。


ホワイトニングジェルの除去
光照射後、綿球などでホワイトニングジェルを除去します。この時、歯肉保護レジンが外れる可能性があるので水洗は行わないでください。


保護材の除去
歯肉保護レジンやガーゼを全て除去し、水洗後、うがいをしてもらいます。


仕上げ研磨
PTCペーストを用いて歯面清掃を行い、ホワイトニングの完了です。
術前と比較するために、口腔内を撮影します。
クリニックでマウストレーというホワイトニング用の個人に合ったマウスピースを作り、その中にホワイトニングジェルを入れてご自宅または勤務先で毎日1~2時間程度装着してケアして行きます。
自宅で行う漂白で、低濃度の薬剤(過酸化尿素)を使用します。
仕事中など都合に合わせて好きな時に行えます。
通常約1週間程度から効果が有り1ヶ月~2ヶ月程度で白くして行きます。
ホームホワイトニングの特長は、「効果が長く続くこと」・「時間はかかりるけどキレイに白くなる」です。
高知市の歯医者 木口歯科医院のホームホワイトニングは「ティオン ホーム」を採用しております。

診査・診断
患者さんへインフォームドコンセントを行います。次にシェードテイキングを行い、口腔内の撮影を行います。


歯面の清掃
歯面研磨ペースト PTCペースト ルシェロホワイト等を用いて歯面清掃を行います。


作業用模型の準備
全顎の作業用模型を作製し適切な形にトリミングします。
※トレーに液溜まりは必要ありません。


マウストレーの成形
真空加熱成形器 プロフォームを用いて成形を行います。


マウストレーのトリミング
歯頸線に合わせてカットし、患者さんの口腔内で試適します。

ここまでが歯科医院で行うステップです。
以降はご自宅で患者様自身が行うステップになります。

ブラッシング
効果的なホワイトニングのために、歯面のブラッシングを行います。


ホワイトニングジェルの注入
1歯あたり米粒2つ分を目安に、ホワイトニングジェルを注入します。


マウストレーの装着
マウストレー装着時、ホワイトニングジェルがあふれ出た場合は、すぐに拭き取ってください。ホワイトニング後は歯面をブラッシングし、ジェルを洗い流します。


マウストレーの洗浄
ホワイトニング終了後、マウストレーを歯ブラシを用いて洗浄します。
※マウストレーが変形する恐れがあるため、温水を使用しないでください。


マウストレー、ジェルの保管
マウストレーは、トレーケースに入れて保管します。ホワイトニングジェルは、冷蔵庫で保管します。
オフィスホワイトニングとホームホワイトニングを一緒に行う治療方法です。
即効性の高いオフィスホワイトニングである程度まで一気に歯を白くし、ホームホワイトニングでじっくり白さを上げながら、長期間白い歯をキープすることができます。
つまり、デュアルホワイトニングは、オフィスとホームのデメリットをお互いにカバーさせ合うことで、最大限のホワイトニング効果を発揮させる方法です。
| 診療時間 | 月 | 火 | 水 | 木 | 金 | 土 | 日 |
|---|---|---|---|---|---|---|---|
| 9:00~12:30 | ● | ● | ● | / | ● | ● | / |
| 14:00~18:30 | ● | ● | ● | / | ● | ● | / |
【休診日】木曜日・日曜日・祝祭日
Copyright© Kiguchi Dental Clinic All Rights Reserved.