MENU
歯周病治療
Perio
歯周病(歯槽膿漏)はとても怖い病気です。
歯周病の特徴として、その多くははっきりとした症状が出ないまま進行し、数年かけて重症化して行く事です。歯周病は加齢と共にリスクが高まり、歯を失う大きな原因となりますが、この他にも全身の様々な病気に悪影響を及ぼす事が明らかになっています。
歯周病菌が口の中で増えると、それが血管を介して全身に広がります。そして、全身の様々な場所で微少な炎症を誘導し、多くの疾患の引き金になったり重症化させたりします。
注意が必要なのは糖尿病で歯周病を併発している患者様は、糖尿病の治療をしても中々血糖値が下がらない傾向に有り、逆に悪化させる事が有ると言われています。
歯周病は炎症が歯肉(歯茎)におこる歯肉炎と歯槽骨を含めた歯周組織にまで炎症が広がった歯周炎の総称で歯周疾患とも呼ばれます。
歯肉にのみ炎症が起こっている段階を「歯肉炎」、歯周組織に炎症が広がってしまった段階を「歯周炎」と言い、これらを総称して「歯周病」と呼びます。
歯周病の初期に当たる歯肉炎の段階でしたら歯垢(プラーク)や歯石をしっかり除去すれば、その後の生活習慣の改善と口腔内ケアを自身で行えば、健康な歯肉を取り戻す事が出来ます。しかし、歯周炎にまで進行すると、歯と歯肉との間に歯周ポケットという溝が出来てしまっている為自身の努力では改善出来ません。歯科医師による治療が必要です。
歯周病はむし歯と同様でそのまま放置するとどんどん炎症が進行して、最後は歯が抜け落ちてしまうという恐ろしい病気です。大きく分けて3段階の症状が有り、歯槽骨も症状の悪化に従って溶けて行きます。

歯肉炎
歯肉が赤く腫れ、歯を磨くと出血が見られる。歯肉が慢性の炎症を起こし赤く腫れています。この段階なら毎日の正しい歯磨きや歯垢の除去で、健康な歯肉を取り戻し治癒する事が可能です。


歯周炎(軽度)
歯周ポケットが深くなり歯槽骨も溶け始めます。
歯肉の炎症が進み歯周ポケットが広がり、歯肉の色が赤紫色に黒ずんだり、急に歯肉が腫れて痛み出します。
初期は歯肉炎と同様で歯肉が腫れ歯磨きをしている時に出血する程度です。歯周病菌が繁殖し腫れた処から膿が出ていると口臭を伴う事が有ります。


歯周炎(中・重度)
歯の根が露出し歯がグラグラし始める。
歯槽骨が溶け始め歯がぐらぐらする様になったら末期症状です。歯肉はぶよぶよして口臭も酷くなり、歯根の露出や膿が出たりします。
口臭や歯のぐらつきが進み痛くて物を噛めない状態になり、やがて歯が抜け落ちてしまいます。
歯周病は、「見た目は綺麗でも歯科医院でレントゲンを撮って見たら歯槽骨が失われていた」という事が有ります。知らない内に進行してしまう事が多い様です。 歯周炎(中・重度)では、抜くしか無い場合も有りますが、当院では可能な限り歯を抜かずに固定して炎症を抑える努力を行います。
歯周炎が進行すると症状が進むに連れ歯槽骨が少しずつ溶けて歯根が露出します。
朝起きた時、口の中がネバネバする。
ブラッシング時に出血する。
口臭が気になる。
歯肉がむずがゆいく痛い。
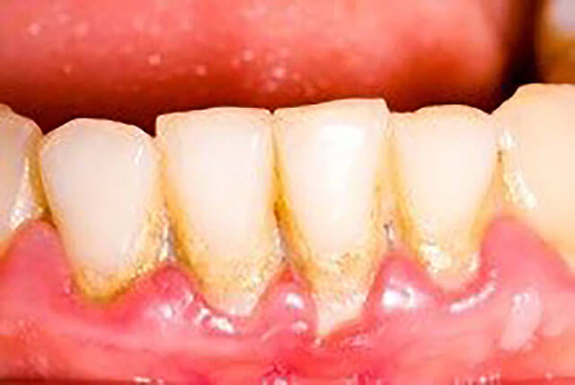
歯肉が赤く腫れている。
(健康的な歯肉はピンク色で引き締まっている)
硬い物が噛み難い。
歯が長くなった様な気がする。
前歯が出っ歯になる、歯と歯の間に隙間が出来てきた。食物が挟まる。
3~5つ当てはまる方
油断は禁物です。ご自分及び歯医者さんで予防する様に努めましょう。
6~7つ当てはまる方
歯周病が進行している可能性が有ります。
全て当てはまる方
歯周病の症状がかなり進んでいます。
歯は歯肉・セメント質・歯根膜・歯槽などの「歯周組織」によって支えられており、容易には抜けない様になっています。歯周病は、その歯周組織が侵される病気です。
健康な状態でも歯と歯肉の境目には、小さな溝(歯肉溝)が有り汚れが溜まり易くなっています。歯磨きなどで汚れを取り除いていれば問題有りませんが、ケアを怠っているとこの溝にネバネバとした物質が溜まり細菌が住み付き易く、やがて細菌の塊で有るプラークが形成されます。
プラークを放置すると歯肉に炎症が起こって赤く腫れ、歯と歯肉の間の溝が広がって「歯周ポケット」が形成されます。 プラークは、当初軟らかいので歯磨きなどで取り除くことが可能ですが、ケアを怠りますと徐々に硬くて除去し難い歯石へと変化します。
歯周ポケットの中にプラークや歯石が付着すると、ポケットは益々深くなりますが、この段階でプラークや歯石を取り除く治療を受け、自分でも歯磨きなどの適切な口腔ケアに努めれば歯周ポケットは概ね元に戻ります。
しかし、ケアを怠り放置を続けていると、歯周ポケットの中で菌が繁殖し、益々深くなり歯周組織の炎症も広がって、 歯槽骨が溶かされ歯を支える土台が全て無くなって、ついには歯が抜け落ちてしまいます。
①中年以降
②喫煙している・ストレスが多い・肥満で有る等、生活習慣に問題が有る
③元々なり易い体質(遺伝)
④糖尿病などの免疫力が低下する病気を持っている
喫煙は有害物質が末梢血管の循環障害・局所免疫機能の低下・組織修復機能の低下を引きお越しプラークを増加させて炎症を大きくします。男性よりも女性が歯肉炎になり易い傾向に有ります。
「妊娠性歯肉炎」は、女性ホルモンが多く分泌きれる為に歯肉が腫れる病気です。生理中に女性ホルモンが上昇すると発症する「思春期性歯肉炎」も有ります。また、閉経後の骨粗しょう症と歯周病との関連についての研究論文も増えています。
①中年以降
②喫煙している・ストレスが多い・肥満で有る等、生活習慣に問題が有る
③元々なり易い体質(遺伝)
④糖尿病などの免疫力が低下する病気を持っている
上記の3つによって診断されその後の治療方針が決まります。
先ず行われるのは歯周ポケットの検査で、目盛りのついた細い棒状の器具を、歯と歯肉の隙間に入れて、ポケットの深さを測ります。
この深さをプローピングデブス(PD)と言います。
なおP3以上になると、治療をしても元の状態に戻すのは困難です。
歯肉が赤く腫れていないか、出血や膿の有無などチェアいたします。
歯槽骨減少のチェック
若年性の歯周病(侵襲性歯周炎)などの場合では、歯肉の炎症は少ないのに、 歯槽骨が殆ど無いという事が有るのでⅩ線検査は欠かせません。
歯周病に影響を与える全身疾患に罹っている場合は、内科主治医と連携して治療を進める必要が有ります。軽度・中度・重度で有っても治療で最も大切な事は自身の努力です。
治療の基本は、正しい歯磨きと歯科衛生士によるプラーク・歯石の除去です。
また、禁煙・肥満の解消・ストレスの軽減など、生活習慣を改善することも重要で全身疾患が有る場合にはその治療も併せて行います。
それを避ける為に、敢えてむし歯を少し残し、象牙質の増殖を促す水酸化カルシウムなどの薬を塗布して、セメント剤などで蓋をします。後日、蓋を取り、象牙質が十分に増殖していたらレジン修復を行います。
歯科衛生士によるプラーク・歯石の除去などの処置とブラッシング指導、 自身の努力で歯周病を治す事が出来ます。
歯科衛生士が行う処置には、「ルートプレーニング」と「スケーリング」があり、プラーク・歯石を除去し、歯をクリーニングします。
キュレートという器具を使って、歯周ポケットの奥のプラーク・歯石を取り除くと共に、歯根面を滑らかに整えます。
スケーラーという器具を使って、歯周ポケットのプラーク・歯石を除去します。
プラーク・歯石の除去後は、患者様自身が正しい方法で歯磨きを続け歯周病の進行防止に努めます。
プラーク・歯石の除去や、ブラッシング指導など、基本的な治療では歯周病が改善されない場合や、一般的に歯周ポケットが5 ㎜以上(P3)の場合は、歯周ポケットを解消するための外科的な治療が必要です。
外科的な治療法としては、歯周ポケット内の炎症歯周組織を掻き出して除去する「歯周ポケット掻爬術」、メスを使って歯肉を切開し、内側に付いた歯石や病的な歯周組織を取り除いた後、歯肉を縫合する「フラップ手術」などが有ります。
これらの手術を行うと、歯周ポケットが無くなり、歯肉が引き締まり、健康などンク色の状態に戻ります。ただし、デメリットもあります。
破壊され減少した歯槽骨は元に戻らない為、歯を覆う歯肉が下がってしまい、見た目が悪くなります。また、歯根が露出し、知覚過敏を引き起こす事も有ります。
歯根の露出が一部の場合は、「根面被覆術(歯周形な外科手術〕」という方法で歯肉を戻す事も可能です。ただし、歯の全周に渡って歯根が霹出している場合は適応にはなりません。
歯周病がそこまで進行する前に治療を始める事が重要です。
歯周ポケットが全周に渡って6 ㎜以上(P4)の状態になると歯がグラグラするだけでなく、食べ物を噛むだけでも痛みが出る様になります。
ここまで進行した場合の治療法に抜歯が有ります。
歯周ポケットが10㎜ほどにもなると、痛みを我慢して歯を温存しても改善する可能性は殆ど無いばかりか、 歯周ポケット内で増殖している歯周病菌が周囲の歯にも悪い影響を与えます。
例えば5 ㎜の歯周ポケットが歯の全周にあると、28本の歯の炎症部位は72㎠になります。
1㎎のプラーク中には1億~10億個の細菌が存在すると言われているので、表面積が72㎠の歯周ポケットの中には天文学的な数の歯周病菌が住み着いている事になります。
歯周病の歯を抜けば当然ながら歯周ポケットも無くなりプラークや歯周病菌も一緒に全て無くなります。
抜歯によって他の歯や、ひいては全身への悪影響を防ぐ事が出来るのです。
抜歯後は、ブリッジや入れ歯・インプラントなどの処置により、無くなった歯を補う治療を行います。
生活習慣を改善
治療後は歯磨きなどの適切なケアを続けて、歯周病の再発を防ぐ事が大事です。
歯周病の予防では、歯磨きの励行の他、生活習慣の改善も大切です。
歯周病と関係が深い糖尿病などの生活習慣病の予防・治療の為にも、以下の事を心がけ全身の健康管理をしっかり行いましょう。
歯周病は予防が出来、治療も可能です。 大切なのは予防・診断・治療・そしてメンテナンスです。
この15年の間に、歯周病治療は急速な進歩を遂げました。以前は「不治の病」とさえ言われていた歯周病も現在では進行を阻止する事が可能となり、健康を取り戻す事が出来るのです。
先ず、歯周病の原因は歯垢ですから、それを貯めない、増やさない事が基本です。
そのためには・・・ 正しい歯ブラシの方法で毎日実行する事です。歯の表面を歯垢の無い清潔な状態にしておく事が何より大切です。
歯肉の中まで入っている歯石を完全に取り除き、さらに根の表面を滑らかにして炎症を引き起こす細菌を徹底的に除去する事です。
傷んだ歯肉、骨を治療して健康に近い歯肉にする事です。
健康の保持の為、歯科衛生士による専門的なクリーニングなどのメンテナンスを定期的に受ける事です。
歯周病の恐ろしい点は、初期・中期には痛みをあまり感じる事がなく症状がどんどん進む事です。 痛みや腫れの症状が出てくるのは末期になってからで、それまでは殆ど自覚症状有りません。
これがこの病気の最大の特徴で、また一番恐いところです。
| 診療時間 | 月 | 火 | 水 | 木 | 金 | 土 | 日 |
|---|---|---|---|---|---|---|---|
| 9:00~12:30 | ● | ● | ● | / | ● | ● | / |
| 14:00~18:30 | ● | ● | ● | / | ● | ● | / |
【休診日】木曜日・日曜日・祝祭日
Copyright© Kiguchi Dental Clinic All Rights Reserved.